An Ohio man who heard a "hissing" sound coming from his genitals has become the first person in the world to be diagnosed with a "whistling scrotum", according to a new study published in the American Journal of Case Reports.
The 72-year-old man, who has not been named, was taken to his local emergency room after telling doctors about his bizarre symptom, the report said.
An X-ray was taken of the patient's chest which showed that he had "excessive" air floating in his body, leading to the collapse of his lungs.
Had it been left untreated, it could have resulted in permanent damaged to the functioning of his heart and lungs and could have even been fatal.
It was later discovered that the main cause of the strange sound coming from the man's scrotum was an open wound located on the left side. The injury had been left over from testicle surgery the patient had undergone to reduce swelling some months earlier. This allowed some trapped air to escape.

The man also experienced shortness of breath and swelling to his face as a result of the surgery. To resolve his malady, two plastic tubes were inserted into the man's chest in order to remove the excess air.
According to Dr. Brant Bickford, the man was transferred to a different hospital to undergo further treatment. His condition only worsened as the air trapped between his lungs and the chest wall began to increase. As a result, medics added a new chest tube.
Fortunately, his lungs recovered after a couple of days in the hospital and the man was eventually released.
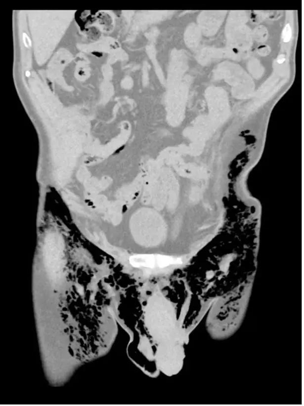
The man did, though, have air trapped in his scrotum and abdomen, a condition known as pneumoscrotum, for another two years, which was referred to as an "abnormally long time."
Doctors could not explain how this phenomenon was able to occur but were ultimately left with no choice but to remove both of his testicles.
According to the study, the man's pneumoscrotum was potentially caused by penetrating injuries, which in turn resulted in trapped air.