Science & Tec4 min(s) read
Woman's brain tumor 'almost disappears' just a week in to 'revolutionary' new treatment
A "revolutionary" new treatment has shown spectacular results in the treatment of glioblastoma brain tumors in three patients, with one woman's cancer almost disappearing in just five days.
Glioblastoma is a type of cancer that forms in the brain or spinal cord and grows quickly, invading and destroying healthy tissue, and can occur at any age but most often affects older adults, especially men, according to the Mayo Clinic.
Symptoms include headaches that keep getting worse, nausea, vomiting, blurred or double vision, and seizures, and while there are treatments that can slow the growth and reduce symptoms, there is currently no cure.
However, a new treatment has sparked hope that that could change after patients showed remarkable results after undergoing CAR-T treatment, with a "dramatic and rapid response" shown in three patients enrolled in a study.
The new findings could be game-changing. (stock image) Credit: Andrew Brookes/Getty Images
CAR-T treatment works by bolstering the body's own immune system, with the complex and specialist treatment making a small change to the T cells, which are put back into the bloodstream in a drip, with the CAR-T cells then recognizing and attacking the cancer cells.
Three glioblastoma patients were involved in the study between March and July last year, all of whom saw incredible responses.
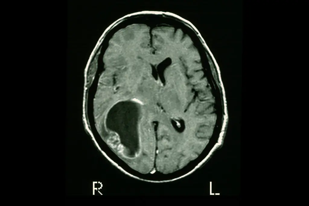
One of the patients, a 57-year-old woman, saw her cancer almost disappear in just five days after undergoing CAR-T therapy, with scans showing a dramatic reduction in the mass in her brain.
Dr Elizabeth Gerstner, of Massachusetts General Hospital, said (via The Sun): "We report a dramatic and rapid response in these three patients.
"Our work to date shows signs that we are making progress, but there is more to do."
See the change on the brain scan below:
Glioblastoma is the most common malignant brain tumor, accounting for 47.7% of all cases and affecting 3.21 people per 100,000 in the US, according to the American Association of Neurological Surgeons.
Survival rates are poor, with approximately 40% of patients living for a year after diagnosis, with survival being just 17% in the second year.
Currently, glioblastoma tumors are treated with surgery, radiotherapy, and chemotherapy to slow the growth and extend the patient's life.
According to the new study, published in the New England Journal of Medicine, the woman saw "near-complete tumor regression" after just five days, while the other two patients also saw significant reductions in their tumors.
A 72-year-old man’s tumor shrank by more than 18 percent after two days, and by day 69 it had decreased by 60.7 percent, with the response being sustained for over six months.
Dr Marcela Maus, also of Mass General, added: "These results are exciting, but they are also just the beginning – they tell us that we are on the right track in pursuing a therapy that has the potential to change the outlook for this intractable disease. We haven’t cured patients yet, but that is our audacious goal."
Glioblastomas have a poor survival rate as there is currently no cure. Credit: BSIP / Getty Images
Dr Bryan Choi, of Mass General, shared: "This is a story of bench-to-bedside therapy, with a novel cell therapy designed in the laboratories of Massachusetts General Hospital and translated for patient use within five years, to meet an urgent need.
"The CAR-T platform has revolutionized how we think about treating patients with cancer, but solid tumors like glioblastoma have remained challenging to treat because not all cancer cells are exactly alike, and cells within the tumor vary.
"Our approach combines two forms of therapy, allowing us to treat glioblastoma in a broader, potentially more effective way."
While it may still be early days, the findings are a significant step forward in the treatment of glioblastoma brain tumors.















