A woman has revealed that she nearly died after a "pop" in her chest during intercourse turned out to be a life-threatening medical condition.
The 45-year-old had just reached climax when she felt a sharp jolt of pain rush through her body, which prompted her and her husband to leave their home in Hattiesburg, Mississippi to go to the emergency department of their nearest hospital.
The medical staff was told the woman was in a position where she was on her back with her legs pressed against her chest. She then suddenly felt discomfort in her chest.
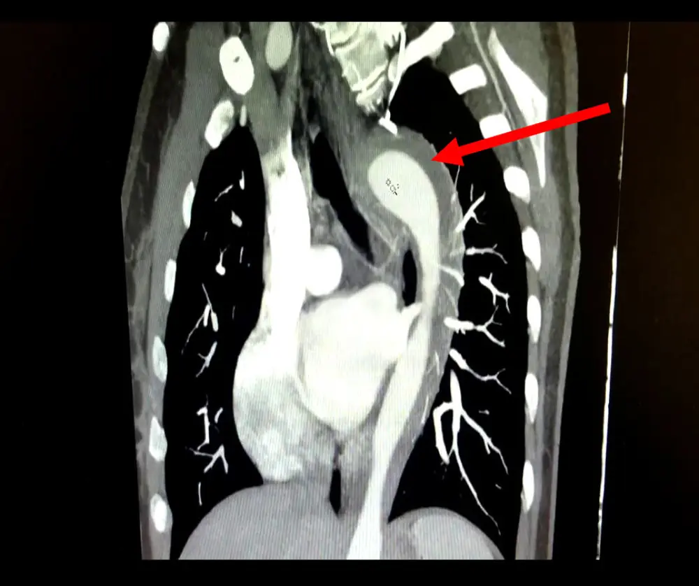
When the woman was examined at the hospital, medical staff discovered that she experienced a form of acute aortic syndrome (AAS) - a potentially life-threatening condition.
Doctors found a leak in her aorta - a large artery that carries blood through the body. The condition is very scary, as for every hour a patient has not been treated, their odds of death rise by one percent.

Doctors gave the woman morphine and fentanyl to alleviate her pain, which managed to help her become more relaxed and less affected.
The woman had a medical history of hypertension (high blood pressure) and had been prescribed medication, however, she hadn't taken it for over a year.
The events surrounding the woman’s diagnosis have now been explored by scientists in the American Journal of Case Reports, after seeing that it was brought on by sexual intercourse.
"Our case is unusual in that our patient was a woman, who represents a smaller proportion of AAS cases, and she was having consensual sexual intercourse with her husband," researchers stated in the paper.
"However, she had baseline risk factors for AAS, including untreated, uncontrolled hypertension and a history of tobacco abuse," they continued.

The article - titled 'Aortic Intramural Hematoma in a Female Patient During Sexual Intercourse' - also referenced heart attacks during sexual situations and how certain problems, such as cheating, can be a for people.
"The risk of sudden cardiac death also shows similar patterns, with an incidence reported at 0.19% in men and 0.16% in women, often noted during masturbation, sexual interaction with prostitutes, or extramarital sexual activity," researchers said.
"As previously mentioned, the risk of sudden cardiac death during sex has a correlation with adultery, which could be provoking an intensified or unforeseen emotional response that makes a person more predisposed to AAS or sudden cardiac death," they added.
Doctors believed that the woman's case was "unusual" considering her age, but they noted that her high blood pressure and history of smoking - six or seven cigarettes a day for 17 years - were common contributing factors to the condition.















