Health3 min(s) read
Published 13:11 17 Apr 2026 GMT
Two women who followed high and low ultra-processed food diets show the striking impact it has on body
New images uncover a striking difference between the muscle makeup of someone who eats a lot of ultra-processed foods compared to someone who does not.
A new study addressed growing concerns around the impact of eating ultra-processed foods (UPFs) as they continue to be linked to an increasing number of health conditions.
Reinforced with chemical additives, colorings, preservatives, and other industrial chemicals, the foods can be defined as including ingredients you wouldn’t normally find in a kitchen.
They are usually recognisably unhealthy, as they have a high calorie, sugar, fat, and salt content.
Cereal, soft drinks, potato chips, canned food, cured meats, and microwave meals are all examples of frequently eaten UPFs.
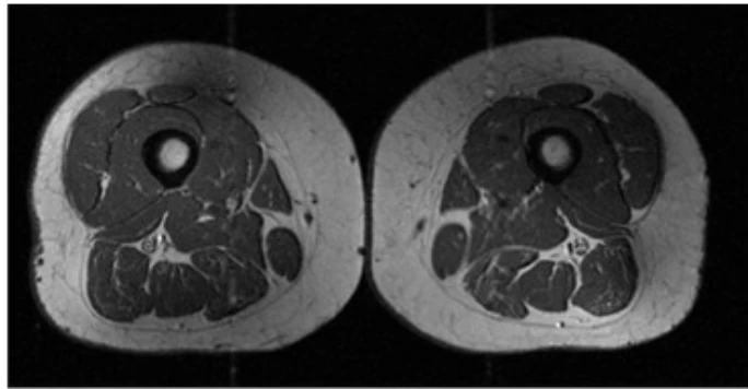
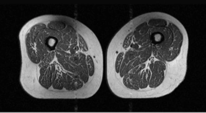
A recent study examining the effects of UPFs used MRI imaging of two women's thigh muscles, one of whom ate a diet made up of 87 percent UPFs, while the other ate only 30 percent UPFs.
The first image shows the thigh muscles of the woman who ate far fewer UPFs. As you can see, the muscles are lean and defined with little marbling.
The other image shows the muscles of the woman whose diet is almost 90 percent UPFs.
In the image, you can see the muscles have much more marbling, which means that the fat has accumulated within the thigh muscle and replaced healthy tissue, which ultimately leads to muscle weakening.
The fat buildup makes everyday tasks more strenuous, and walking can become much more difficult as the muscle is weaker.
Muscle weakening can then result in a less active lifestyle, which accelerates the muscle loss even further.
High levels of fat accumulation in the muscles are also linked to metabolic diseases such as Myosteatosis, the condition in which fat accumulates in the muscle fibres.
People with high levels of fat in their muscles more commonly have higher rates of insulin resistance, metabolic syndrome, and chronic inflammation.
Metabolic stressors such as a high UPF diet, chronic low-grade inflammation, or insulin resistance lead to the buildup of fat cells between and inside muscle fibers.
The data used was research from the Osteoarthritis Initiative, a study that monitored people at risk of developing knee arthritis.
Each participant filled in a detailed questionnaire about everything that they had eaten in the past year.
Using a classification system, the researchers calculated what percentage of the participants’ diet was made up of UPFs.
An MRI scan was done on each participant’s thighs, then researchers analyzed the scans and graded fat infiltration in the thigh muscles.
The study concluded that people who ate and drank higher amounts of UPFs had far greater intramuscular fat, especially in the thighs.













